Hiện nay, sâu răng là một trong những bệnh lý phổ biến do vi khuẩn tích tụ lâu ngày trong khoang miệng gây phá huỷ men răng, ngà răng và tủy răng. Nếu không điều trị kịp thời, vi khuẩn có thể lan tới toàn bộ chân răng và các vùng lợi xung quanh, dẫn tới hiện tượng lợi bị thâm đen.

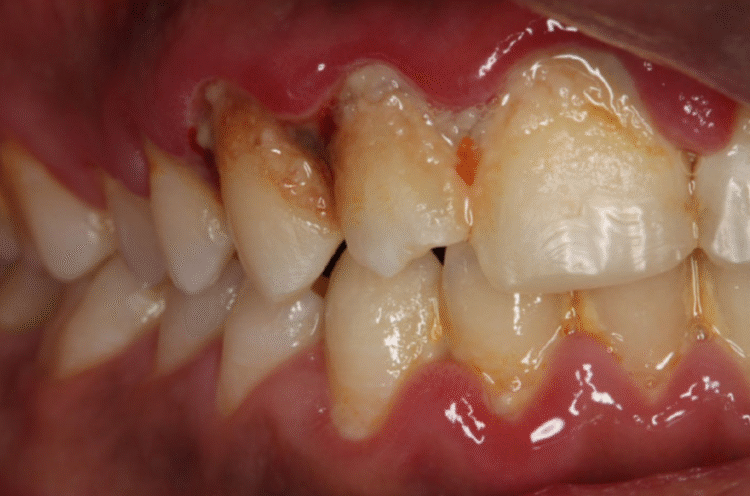
Hiện trạng lợi bị thâm đen
Lợi thâm đen là tình trạng lợi đổi màu bất thường từ hồng nhạt chuyển thành nâu, tím hoặc đen. Ban đầu chỉ là vài vết mờ nhỏ gần chân răng, dần dần lan rộng và đậm màu hơn, gây mất thẩm mỹ và có thể là dấu hiệu báo động sức khỏe răng miệng đang gặp vấn đề. Khi thấy nướu đổi màu bất thường, bệnh nhân cần thăm khám kịp thời để được chẩn đoán chính xác nguyên nhân và điều trị thích hợp.
Nguyên nhân khiến lợi bị thâm đen
Theo ThS.BS Nguyễn Quang Tiến – CEO, Giám đốc Bệnh viện Răng Hàm Mặt Sài Gòn (https://benhvienranghammatsg.vn/) cho biết lợi thâm đen có thể do nhiều nguyên nhân khác nhau, cụ thể:
Đốm sắc tố (Melanotic Macules): Tổn thương lành tính, do sự tăng sản xuất sắc tố melanin ở vùng nướu, môi hoặc vòm miệng. Không ảnh hưởng sức khỏe, chỉ gây mất thẩm mỹ.
U ác tính ở nướu: Loại ung thư nguy hiểm, đốm đen thay đổi kích thước, có thể vỡ, sưng và chảy máu.
Hút thuốc lá: Nicotine kích thích tế bào sản xuất melanin nhiều hơn, làm lợi và niêm mạc miệng thâm đen.
Viêm nướu loét hoại tử cấp tính: Viêm nhiễm cấp tính, mô lợi bị hoại tử, đổi màu thâm đen, kèm theo đau, hôi miệng, sốt.

Sự lở loét, hoại tử ở mô lợi do sự bùng phát của các loại vi khuẩn trong miệng.
Amalgam Tattoo: Tích tụ vật liệu trám răng trong mô mềm, tạo thành mảng màu xám đen. Không gây nguy hiểm.
Tác dụng phụ của thuốc: Một số thuốc như Minocycline, Chlorpromazine làm tăng sắc tố melanin khiến lợi thâm màu.
Bệnh Addison: Suy tuyến thượng thận, da và niêm mạc sẫm màu, nguy hiểm nếu không được điều trị kịp thời.
Hội chứng Peutz-Jeghers: Rối loạn di truyền hiếm gặp, đốm sắc tố ở môi, miệng, kèm theo nguy cơ ung thư cao.
Khi nào cần thăm khám bác sĩ?
Không phải tất cả các trường hợp lợi thâm đen đều nguy hiểm, nhưng nếu bạn gặp những dấu hiệu sau đây, cần thăm khám bác sĩ nha khoa càng sớm càng tốt:
Đau nhức, sưng viêm nướu: Có thể là dấu hiệu viêm nha chu hoặc nhiễm trùng mô mềm quanh răng.
Chảy máu, hôi miệng kéo dài: Cảnh báo viêm nướu hoại tử hoặc bệnh lý ác tính.
Răng lung lay: Cho thấy hệ thống nâng đỡ răng đã tổn thương nghiêm trọng.
Xuất hiện các vết loét không lành: Có thể là biểu hiện sớm của ung thư miệng.
Bác sĩ sẽ khai thác bệnh sử, kiểm tra răng miệng, chụp hình ảnh, hoặc sinh thiết nếu cần để chẩn đoán chính xác nguyên nhân và có hướng điều trị phù hợp.
Phòng ngừa lợi bị thâm đen
Để giữ cho nướu khỏe mạnh và tránh thâm đen, cần: Vệ sinh răng miệng đúng cách, đánh răng 2 lần/ngày; Khám răng định kỳ 6 tháng/lần; Loại bỏ thói quen hút thuốc lá; Cạo vôi răng, kiểm tra tổn thương niêm mạc miệng thường xuyên; Chú ý các dấu hiệu bất thường để thăm khám kịp thời.
ThS.BS Nguyễn Quang Tiến – với hơn 20 năm kinh nghiệm trong lĩnh vực nha khoa – chia sẻ rằng:”Những thay đổi nhỏ ở nướu, như lợi bị thâm đen, đôi khi lại là tín hiệu sớm cảnh báo những vấn đề sâu xa hơn về sức khỏe răng miệng. Nếu được phát hiện và xử lý đúng cách từ sớm, chúng ta không chỉ giữ được nụ cười tự tin mà còn bảo vệ được sức khỏe toàn diện lâu dài.”

ThS.BS Nguyễn Quang Tiến – CEO Bệnh viện Răng Hàm Mặt Sài Gòn thăm khám và tư vấn cho khách hàng
Theo lời khuyên từ ThS.BS. Nguyễn Quang Tiến, việc thăm khám định kỳ tại những cơ sở chuyên sâu về nha khoa, nơi có hệ thống chẩn đoán hiện đại, đội ngũ bác sĩ chuyên khoa trực tiếp theo dõi và quy trình kiểm soát vô khuẩn nghiêm ngặt, sẽ giúp bạn an tâm hơn trong việc phát hiện sớm nguyên nhân và điều trị hiệu quả.
Tin rằng, việc chăm sóc răng miệng không chỉ là bảo vệ nụ cười, đây còn là đầu tư cho chất lượng cuộc sống mỗi ngày…
Thuỳ Duyên
Được biết, Bệnh viện Răng Hàm Mặt Sài Gòn có trụ sở chính tại 1258, phường 10, quận 5, TP.HCM và 17 chi nhánh tại TP.HCM; TP. Thủ Đức; TP. Cần Thơ; TP. Mỹ Tho (Tiền Giang); Chi nhánh tại Australia ở Representative Office AU: 68 Pitt St Sydney NSW 2000, AU. Bệnh viện là đơn vị đồng hành, hỗ trợ Viện Nghiên cứu Thị trường – Truyền thông Quốc tế (IMRIC); Viện Nghiên cứu Chính sách pháp luật và Kinh tế hội nhập (IRLIE) và Tạp chí Doanh nghiệp và Trang trại Việt Nam.


















